Terça, 30 de dezembro de 2025
Facebook Instagram Twitter Youtube TikTok E-mail
48 3191-0403
Geral
11/05/2019 13h15

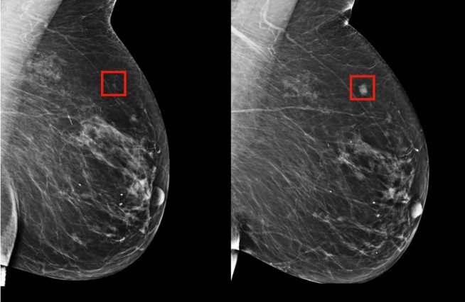
Inteligência artificial prevê câncer de mama cinco anos antes

Foram possíveis de prever 31% dos casos de pacientes de alto risco; antes, só se podiam detectar 18% desses episódios.
Inteligência artificial prevê câncer de mama cinco anos antes
Utilizando inteligência artificial (IA), pesquisadores do Instituto de Tecnologia de Massachusetts (MIT) e do Massachusetts General Hospital desenvolveram um modelo para prever o câncer de mama até cinco anos antes de ele se manifestar. Os pesquisadores testaram a tecnologia com dados de 2009 a 2012 provenientes de 90 mil  mamografias de mais de 6 mil pacientes do Massachusetts General Hospital. O sistema de inteligência artificial conseguiu detectar padrões sutis que não podiam ser identificados por humanos nos tecidos mamários, conseguindo antever as chances do desenvolvimento do câncer. A inteligência artificial previu 31% dos casos de pacientes de alto risco, o que é uma melhora significativa na prevenção da doença, uma vez que as técnicas tradicionais anteriores podiam prever apenas 18% desses casos. Os métodos anteriores foram criados com base em dados de mulheres brancas, e um estudo publicado no Journal of Women’s Health mostrou que a eficácia dos testes de prevenção deixava de lado a população negra e hispânica. Por outro lado, agora o modelo criado pela IA foi testado também em mulheres negras, podendo ser mais acessível, embora os testes ainda precisem ser feitos em mulheres indianas e de outras etnias. A tecnologia permitiu ainda conhecer riscos individuais de cada paciente, informações que podem ser usadas para customizar programas de prevenção. Além disso, a mamografia tradicional ainda tem base em faixa etária e o exame recomendado ocorre somente a partir dos 45 anos de idade nos EUA. Com o novo método, isso pode mudar: os pesquisadores dizem que a descoberta pode permitir que no futuro as mamografias possam ser usadas para identificar outros problemas de saúde, como doenças cardiovasculares e outros tipos de câncer. Fonte: Galileu.
PUBLICIDADE
PUBLICIDADE

HC Notícias
48 3191-0403
48 9 8806-3734
Rua Altamiro Guimarães, 50
88701-300 - Centro - Tubarão/SC
Hora Certa Notícias © 2019. Todos os direitos reservados. Política de Privacidade

Utilizamos cookies essenciais e tecnologias semelhantes de acordo com a nossa Política de Privacidade e, ao continuar navegando, você concorda com estas condições.